اشتباه حالات سرطان اللثة.. أطباء يحذرون من تجاهل الأعراض المبكرة

النقابي الجنوبي/متابعات
حذّر أطباء مختصون من خطورة تجاهل الأعراض المبكرة لمرض سرطان اللثة، مؤكدين أن الاكتشاف المبكر يلعب دورًا حاسمًا في زيادة فرص العلاج والشفاء.
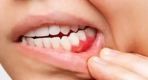
وأوضح الأطباء أن سرطان اللثة، الذي يُعد أحد أنواع سرطان الفم، قد يبدأ بأعراض بسيطة يظنها البعض مشاكل لثوية عادية، مثل التورم أو النزيف، ما يؤدي إلى تأخر التشخيص.
وأشاروا إلى أن من أبرز الأعراض التي تستدعي الانتباه: ظهور قرح في اللثة لا تلتئم، نزيف متكرر دون سبب واضح، تغير في لون اللثة، رائحة فم كريهة مستمرة، إضافة إلى تخلخل الأسنان أو الشعور بألم أثناء المضغ.
وأكد المختصون أن هذه الأعراض قد تتشابه مع أمراض شائعة مثل التهاب اللثة أو التهاب دواعم السن، إلا أن استمرارها لأكثر من أسبوعين يتطلب مراجعة فورية لطبيب الأسنان لإجراء الفحوصات اللازمة.
وشدد الأطباء على أهمية الاهتمام بنظافة الفم والأسنان، وتجنب التدخين، وإجراء الفحوصات الدورية، للحد من خطر الإصابة والكشف المبكر عن أي تغيرات غير طبيعية.