جسد يتكلّس من الداخل… حقن عضلية قديمة تفجّر كارثة بعد 30 عامًا

النقابي الجنوبي/متابعات
وصل رجل ستيني إلى أحد مستشفيات وارسو وهو يعاني من قيء مستمر وضعف شديد فقد خلاله 18 كيلوغرامًا من وزنه خلال عام واحد، لكن ما كُشف لاحقًا كان أبعد بكثير من الأعراض الظاهرة.
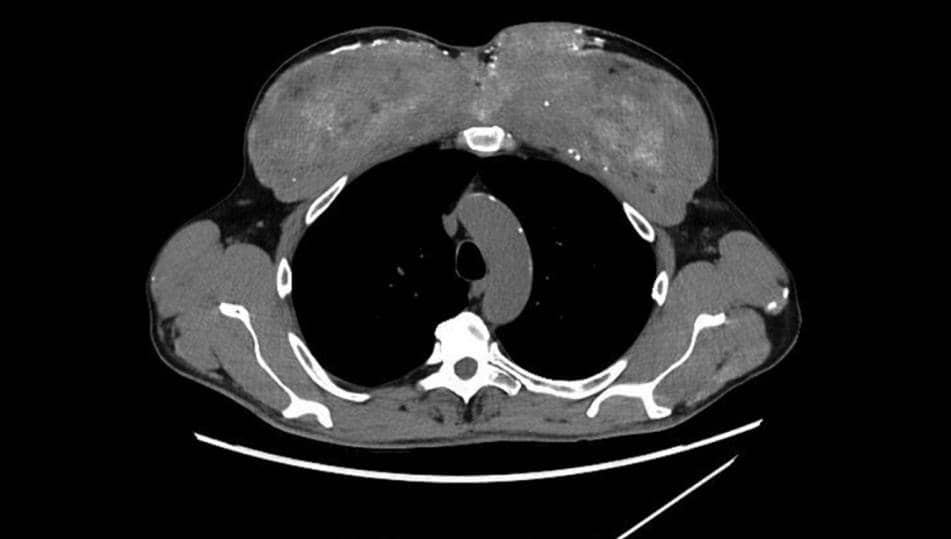
الفحوصات المخبرية أظهرت ارتفاعًا خطيرًا في مستويات الكرياتين واليوريا، ما دلّ على تدهور واضح في وظائف الكلى، إضافة إلى مستوى مرتفع من الكالسيوم وصل إلى حد يهدد القلب والدماغ. وأظهرت صور الأشعة انتشار تكلسات واسعة في الكليتين والبنكرياس والمعدة، كما ظهرت ندبات غير طبيعية في الرئتين، بينما بدت عضلات الصدر شبه متصلبة.
بدأ الفريق الطبي العلاج بخفض الكالسيوم وتثبيت حالة المريض، لكن المشكلة عادت بعد أسابيع بحدة أكبر. عندها لاحظ الأطباء أن عضلات الذراعين والصدر مشوهة بشكل غير معتاد، ما دفعهم إلى البحث عن سبب غير تقليدي.
المفاجأة ظهرت عندما كشف المريض أنه تلقى قبل ثلاثة عقود حقنًا عضلية “غير معروفة” بهدف تضخيم عضلاته، ورجّح أنها كانت تحتوي على مواد مشابهة للتستوستيرون. هذه الحقن استمر عليها لسنوات، وكان آخر استخدام لها قبل عامين فقط.
خزعة أُخذت من إحدى العضلات المتضررة كشفت الحقيقة: المادة التي ملأت العضلة كانت زيت السينثول، وهو زيت يستخدمه البعض لتكبير العضلات شكليًا، ويتسبب غالبًا في تفاعلات التهابية طويلة الأمد. ومع مرور السنين تراكمت حوله طبقات كثيفة من التكلس، قبل أن يبدأ الكالسيوم بالتسرب إلى الدم ويتسبب في الاضطراب الخطير الذي يعاني منه المريض.
وبحسب الأطباء المشرفين، فإن إزالة العضلات المتكلسة جراحيًا قد تكون الخيار العلاجي الوحيد القادر على وقف ارتفاع الكالسيوم المزمن، وهي خطوة لجأت إليها تقارير طبية في حالات مماثلة حول العالم.