تعرف على تفسير رؤية تسوس الاسنان لابن سيرين..؟

النقابي الجنوبي/ متابعات
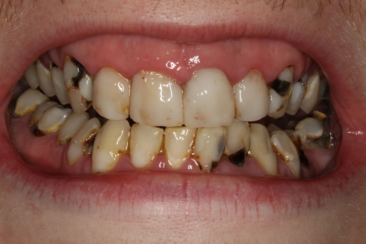
الابتسامة الجميلة تجعل الوجه أكثر سحراً وإشراقاً وسر الابتسامة هو أسنان صحيّة بيضاء خالية من التسوس لذلك فإن تفسير حلم تسوس الأسنان في المنام قد يحمل في أغلب الأحيان عدة تفسيرات سيئة وغير مطمئنة حيث إنها من الرؤي التي تثير في النفس القلق والانزعاج.
اتفق أغلب المفسرين على أن رؤية تسوس الأسنان من الرؤى المحيرة التي قد تحمل التفسير السيئ والجيد ويتوقف معناها على طبيعة الحالم نفسه وهيئة أسنانه في الحلم حيث إنها في كثير من الأحيان تشير إلى العثور على شيء كان مفقودا منذ فترة طويلة وأحياناً تكون بشارة باقتراب موعد تحقيق آمال كانت بعيدة المنال وتدل أيضاً على عودة شخص كان غائب لفترة طويلة ربما عودته من سفر طويل أو بعد خصومة كبيرة.
قال ابن سيرين بأن الأسنان في أغلب الظن تشير إلى الأشخاص المحيطين بالشخص من أصدقاء أو أقارب لذا فإن تسوس الأسنان يعبر عن إصابة أحد المقربين منه بمشكلة كبيرة.
أحياناً ماتكون بمثابة إنذار له من وجود أشخاص كثيرة تحيط به تُظهِر له الخير ولكنها تنوي إيذاءه الفترة القادمة .
تفسير حلم البيت الجديد وعلاقته بارتكاب المعصية والموت
إذا رأت العزباء في المنام أنها تقوم بتنظيف أسنانها بنفسها فهذا يدل علي أنها تتمتع بشخصية قوية قادرة على مواجهة ظروف الحياة الصعبة وحدها دون مساعدة أحد.
تسوس الأسنان في المنام للعزباء يشير إلى حالة من الحزن والألم تعيش فيها حالياً وربما يدل على أنها قد تلازمها لفترة من الوقت.
ربما تدل أيضاً عن عدم إمكانيتها من تحقيق أهداف طالما تَمَنّت الوصول إليها.
أحياناً تكون دلالة على شعورها بالخمول العام وضعف الجسد وعدم القدرة على بذل المجهود المطلوب في العمل أو أداء الروتين اليومي البسيط.
إذا رأت أن هناك طبيبا يعالج تسوس أسنانها فهذا دليل على ارتباطها قريباً من شخص حنون مُتفاهم يقوم بحل جميع مشاكلها وحمايتها كما تدل أيضاً على أنها في مشكلة كبيرة، لا تستطيع حلها بمفردها لذلك فإنها بحاجة لطلب المساعدة من كبار السن أو ذوي الخبرة ولكن إذا لم يتمكن الطبيب من علاج التسوس فهذا يعبر عن انفصال العزباء عن الشخص الذي تحبه وتنوي الارتباط به.
اذا رأت المتزوجة في منامها إصابة أحد الأسنان الأساسية بالتسوس فهذا دليل على إصابة زوجها بوعكة صحية شديدة قد تُلزمه الفراش في الفترة القادمة ولكن لو رأت أن التسوس يصيب فقط أحد الأنياب فهذا يدل على انفصالها عن زوجها أو حدوث مشاكل كثيرة بينهما بسبب الخيانة.
تفسير حلم ارتداء الملابس الجديدة وعلاقته بالخلافات الزوجية
و إذا رأت أنها تقوم بتنظيف أسنانها بنفسها فهذا يدل على أنها تدير شئون منزلها بشكل جيد وتعتني بزوجها وأبنائها.
أما إذا رأت أنها تستخدم السِواك في التنظيف فهذا دليل على أنها امرأة طيبة القلب متدينة وتفعل الكثير من الخير في سبيل الله.
اذا رأت الحامل انها تشعر بألم شديد في أسنانها فهذا يدل علي حدوث مشاكل لجنينها ربما قد تؤدي لفقدانه الفترة القادمة وأما اذا رأت إصفرار الأسنان من التسوس قد يدل على تعرضها لوعكة صحية عقب ولادتها مباشرة.
ولكن رؤية الأسنان سوداء يدل علي وجود مشاكل كبيرة مع أهل زوجها ربما تكون سبباً في انفصالها عنه الفترة القادمة.
أما إذا رأت أن طبيب الأسنان يقوم بعلاج أسنانها فهذا دليل على أنها بحاجة لزيارة طبيبها قريباً لتطمئن على سلامة حملها ,وأما اذا رأت انها فقد أحد الأسنان العلوية فهذا يدل على أنها ستُرزق بصبي وسيكون عوناً لها في حياتها القادمة لكن فقد السفلية يدل على أنها ستنجب أنثى جميلة تساعدها في الحياة ,أما رؤية الأسنان تنزف فهذا يدل على أنها ستتعرض لبعض المشاكل الصحية أثناء عملية الولادة ربما ستواجه الألم الشديد بعد الولادة.

لكن رؤية التخلص من تسوس الأسنان وعودتها ناصعة البياض يدل على أنها ستحظى بعملية ولادة سهلة وميسرة .
اذا رأي الرجل في المنام أنه يقوم بتنظيف أسنانه بنفسه فهذا دليل على أنه سيتمكن من حل جميع المشاكل التي يواجهها بمفرده ودون طلب المساعدة من أحد والله اعلم .
تفسير تسوس الاسنان للعزباء الرجل المطلقة المتزوجة الارملة الشاب الشابة الطفل