قضيب حديدي يخترق جمجمة رضيع.. و”معجزة” تنقذه

النقابي الجنوبي/متابعة خاصة
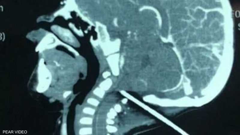
اخترق القصيب الحديدي جمجمة الرضيع
كان رضيع يبلع من العمر عاما واحدا يلهو في في ساحة منزله عندما انزلق فجأة، ولسوء حظه وقع على قضيب حديدي بارز انغرز في جمجمته.
وفي التفاصيل التي أوردتها، صحيفة “ديلي ميل” البريطانية، فإن حالة الرضيع باتت مستقرة بعد كان على وشك الموت، بعد عملية جراحية لإزالة القضيب من رأس الرضيع، استغرقت ساعة كاملة.
ويقول والد الرضيع الذي يعيش في مدينة جينان بمقاطعة شاندونغ شرقي الصين، إن ابنه كان يلعب في ساحة المنزل عندما سقط إلى الوراء.
وركض الأب ليطمئن على ابنه، ليفاجأ بحجم الكارثة التي ألمت به: قضيب معدني يخترق رأسه.
وحاول الأب إنقاذ طفله، فما كان منه إلا أن قص القضيب بالكماشة، ونقله فورا إلى المستشفى.
وبعد إخضاع رأس الرضيع للفحص بالأشعة السينية، تبين أن قسما كبيرا من القصيب مستقر في الجمجمة ولا يبعد سوى مليمترات عن الأوعية الدموية في قاع الدماغ.
وقال الدكتور وانغ غوانغنينغ، مدير جراحة الأعصاب في مستشفى الأطفال بالمدينة، إن الطفل كان في حالة حرجة عندما وصل المستشفى، وكان يعاني من الحمى.
لكنه أضاف أنه “بعد إزالة القضيب المعدني تحسنت حالة الرضيع”، ووصفها الطبيب بالمستقرة.